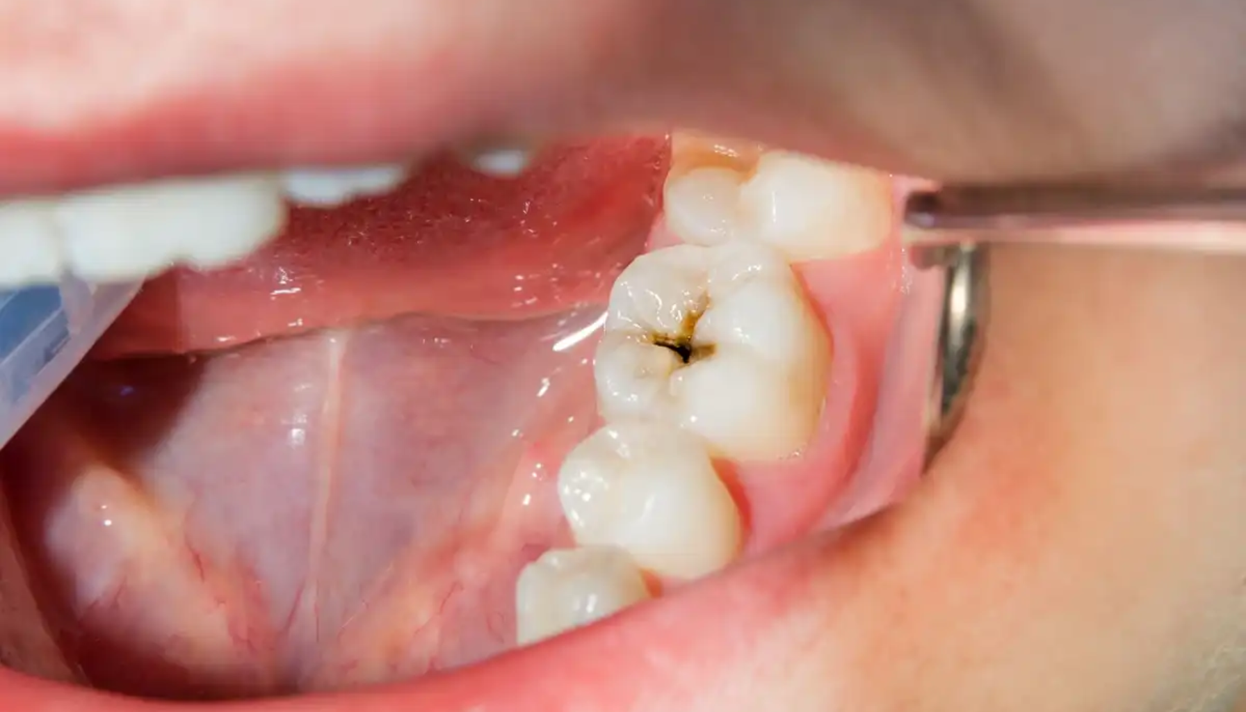
Det er helt normalt å oppleve en viss grad av ubehag etter at en tann er blitt boret. Tannvevet har blitt påvirket, og nervene kan reagere midlertidig.
🦷 Ømhet når du tygger: Det kan føles ubehagelig å bite sammen de første dagene etter en fylling. Som regel avtar dette gradvis, men hvis det blir verre, kan fyllingen være for høy eller nerven irritert.
🌡️ Ising ved kald og varm mat: Midlertidig ising er vanlig, særlig når du spiser eller drikker noe varmt, kaldt eller søtt. Dette bør gradvis bli bedre – hvis ikke, kan det tyde på nerveskade eller betennelse.
⏳ Hvor lenge varer smerten? Lett ubehag kan vare fra noen dager til et par uker, avhengig av hvor dypt tannlegen har boret. Ved dyp fylling nær nerven kan det ta lenger tid, men smerten skal bli svakere, ikke sterkere.
🚨 Tegn på betennelse eller feil: Vedvarende dunkende smerte, hevelse i tannkjøttet, vond smak eller økende ubehag er signaler du ikke bør overse. Dette kan bety infeksjon, behov for rotfylling eller at fyllingen må justeres.
💡 Visste du at?
En fylling som er litt for høy kan gi tyggeverksmerter – dette kan enkelt justeres.
Langvarig ising kan tyde på irritasjon av nerven og bør følges opp hos tannlege.
For de fleste går ubehaget raskt over, men dersom smerten vedvarer eller forverres, kan det være et tegn på at noe mer ligger bak. Å vite hva som er normalt, og når det er grunn til å kontakte tannlegen på nytt, er avgjørende for å unngå komplikasjoner.
Hvorfor gjør det vondt etter boring – og hvor lenge varer det?
Når tannlegen borer i en tann, blir både tannvevet og nervene i området påvirket. Det er helt normalt å oppleve litt ømhet eller ising i dagene etterpå. Hos de fleste går ubehaget over i løpet av noen dager til én uke. Noen kan ha lett ising i opptil to uker. Hvis smerten blir verre eller vedvarer, bør du kontakte tannlegen.
Verk i kroppen uten feber: Vanlige årsaker
Smerter uten feber kan likevel være tegn på tann- eller kjeveproblemer.
Les mer om verk i kroppen
Forskjellen på vanlig smerte og infeksjon
Vanlig smerte etter boring kjennes ofte som ising eller lett trykk ved tygging, men avtar gradvis. Infeksjon kjennetegnes av dunkende, vedvarende smerte som ofte forverres, gjerne med hevelse eller vond smak. Slike symptomer krever rask tannlegekontakt.
Rar smak i munnen: Årsaker og behandling
En vond smak kan være et tidlig tegn på betennelse etter tannbehandling.
Les mer om rar smak i munnen
Når bør du kontakte tannlegen på nytt?
Hvis du har sterke smerter mer enn en uke etter behandling, eller opplever hevelse, feber eller vond lukt, bør du kontakte tannlegen umiddelbart. Dette kan bety at nerven er skadet eller at en betennelse har oppstått.
Høy puls om natten: Årsaker og løsninger
Stress og ubehag fra tannverk kan påvirke søvnen og kroppens hvile.
Les mer om høy puls
Slik lindrer du smerten hjemme i mellomtiden
Har du kun mild smerte, kan paracetamol eller ibuprofen gi god lindring. Unngå å tygge hardt på behandlet tann de første dagene. Velg myk, lunken mat og hold munnhygienen god uten å irritere området unødig.
Unngå smerter: Råd mot betennelse i kjeven
Forebygg betennelse og komplikasjoner med riktige rutiner etter tannbehandling.
Les mer om betennelse i kjeven
Sammendrag
Det er normalt med noe smerte eller ising etter boring og fylling, særlig de første dagene. Dersom smertene øker i intensitet, varer mer enn to uker eller ledsages av hevelse og feber, bør du kontakte tannlegen. Rask oppfølging kan hindre større problemer.




