Å trekke en visdomstann kan variere kraftig i pris – fra noen hundrelapper til flere tusen kroner – men hva er det egentlig som bestemmer kostnaden? Flere faktorer spiller inn. Hvor i munnen tannen sitter, om den har kommet helt frem eller ligger delvis skjult under tannkjøttet, og om inngrepet krever kirurgi, påvirker både vanskelighetsgrad og sluttpris.
💡 Visste du at?
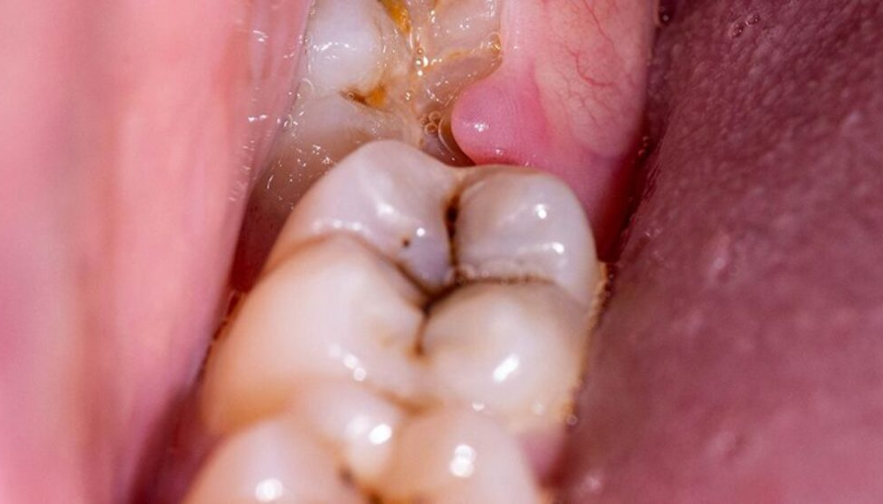
🦷 Visdomstenner som delvis ligger under tannkjøttet gir oftere betennelser – tidlig fjerning kan bli både enklere og billigere.
📸 Røntgen avgjør om trekking kan gjøres enkelt hos tannlege eller bør utføres kirurgisk av spesialist.
🏥 HELFO kan i enkelte tilfeller gi støtte ved medisinsk begrunnelse – spør tannlegen om vurdering.
⌛ Kort ventetid hos private klinikker kan redusere risiko for akutte plager som gjør inngrepet dyrere.
En enkel trekking hos tannlege er ofte rimeligere, mens mer kompliserte tilfeller utføres av spesialist og kan bli betydelig dyrere. I tillegg har klinikkens beliggenhet, erfaring og prisnivå mye å si. I Oslo og andre storbyer ligger prisene ofte høyere enn på mindre steder.
Det er derfor smart å be om et skriftlig kostnadsoverslag før behandlingen, slik at du unngår overraskelser. Mange klinikker tilbyr også fleksible betalingsløsninger eller delbetaling. Med riktig planlegging og gode råd fra tannlegen kan du ikke bare få en trygg og profesjonell behandling, men også spare penger på å velge riktig sted og riktig tidspunkt for inngrepet.
- 💸 Store prisforskjeller i Norge
- 🦷 Kirurgisk vs. enkel trekking
- 🏥 Offentlig vs. privat tannlege
- 💳 Hva dekker HELFO – og hva må du betale selv?
Betennelse i kjeven: Symptomer, årsaker og råd
Irritasjon og smerter i kjeven kan påvirke visdomstann-vurderingen – slik kjenner du tegnene.
Les mer om betennelse i kjeven
Hvorfor varierer prisen på visdomstann-trekking så mye?
Prisen for å trekke en visdomstann varierer betydelig fordi ikke alle inngrep er like. En enkel trekking, hvor tannen er fullt synlig og lett tilgjengelig, koster vanligvis mellom 1 000 og 2 000 kroner.
Derimot kan en kirurgisk fjerning – der tannlegen må åpne tannkjøttet og eventuelt fjerne bein – koste mellom 3 000 og 6 000 kroner. Noen ganger må man til spesialist i oralkirurgi, og da blir prisen ofte høyere. Lokasjon spiller også inn; priser i Oslo og større byer er gjerne høyere enn i mindre tettsteder.
I tillegg til selve inngrepet kan det komme kostnader for konsultasjon, røntgen, bedøvelse og etterkontroll. Derfor er det viktig å få et fullstendig prisoverslag før du starter behandlingen. Spør også om hva som skjer hvis inngrepet viser seg å være mer omfattende enn først antatt.
Sår gane: Årsaker, symptomer og behandling
Etter trekking kan irritasjon i munnslimhinnen oppstå – slik lindrer du plager.
Les mer om sår gane
Når lønner det seg å trekke før det blir kirurgisk?
Jo tidligere man fjerner en problematisk visdomstann, desto større er sjansen for at inngrepet blir enklere og rimeligere. En tann som er på vei opp, men fortsatt ligger delvis skjult, kan ofte trekkes med lokalbedøvelse uten kirurgi.
Venter du til tannen blir betent, trykker mot nabotennene eller vokser skjevt, øker risikoen for et komplisert inngrep – som krever kirurgisk fjerning og høyere pris. Røntgen hjelper tannlegen å vurdere posisjon og anbefale riktig tidspunkt.
Sprekker i munnviken: Årsaker og lindring
Tørre slimhinner og sprekker kan forverres etter inngrep – slik forebygger du.
Les mer om sprekker i munnviken
Privat vs. offentlig: Hva er best når visdomstannen må ut?
Offentlige klinikker kan være rimeligere, men ventetiden er ofte lengre og tilbudet er prioritert til barn, unge og pasienter med særskilte rettigheter. Voksne uten rettigheter betaler som regel fullt og får ikke alltid utført kirurgiske inngrep i det offentlige.
Private klinikker koster mer, men tilbyr gjerne rask time, erfarne kirurger og utstyr som gjør inngrepet mer forutsigbart. Sjekk om klinikken har direkte oppgjør for eventuell HELFO-refusjon.
Rar smak i munnen: Årsaker og behandling
Etter kirurgi kan midlertidig bismak oppstå – slik håndterer du det.
Les mer om rar smak i munnen
Hvordan unngå skjulte gebyrer hos tannlegen?
Be alltid om skriftlig prisoverslag som inkluderer konsultasjon, røntgen, bedøvelse, selve trekkingen, eventuelle suturer og kontrolltime. Spør hva som skjer ved uforutsette funn (for eksempel at inngrepet må gjøres kirurgisk) og om klinikken opererer med fastpris eller intervall. Gjør gjerne prissammenligning mellom flere klinikker og les pasientomtaler.
Prisen for å trekke en visdomstann i 2025 varierer. Viktige punkter:
- Enkel trekking: 1 200–2 000 kr når tannen er fullt frembrutt og lett tilgjengelig.
- Kirurgisk fjerning: 3 000–6 000 kr når tannen ligger under tannkjøtt/bein eller står skjevt.
- HELFO-refusjon: Mulig ved medisinsk begrunnelse (infeksjon, sykdom, plassmangel). Tannlegen vurderer og dokumenterer.
- Tilleggskostnader: Konsultasjon og røntgen 500–1 000 kr; ekstra ved komplikasjoner.
- Flere tenner: Noen tilbyr pakkepris; ofte beregnes pris per tann – avklar på forhånd.
Sammendrag
Å trekke en visdomstann kan koste fra ca. 1 200 kr ved enkel trekking til over 6 000 kr ved kirurgisk fjerning. Pris påvirkes av tannens posisjon, kompleksitet, klinikk og eventuell HELFO-støtte. Tidlig vurdering, tydelig prisoverslag og riktig klinikkvalg gir trygg behandling uten økonomiske overraskelser.



