Munnhulen – hvorfor er den så viktig? I denne artikkelen ser vi på hvorfor munnhulen er så viktig, hvilke symptomer og sykdommer som kan oppstå, og når du bør oppsøke hjelp.
🧠 Hvorfor munnhulen er viktig: starter fordøyelsen, påvirker tale/smak, beskytter mot infeksjoner og henger tett sammen med generell helse.
🔎 Symptomer å følge med på: vedvarende smerte, sår, blødning, hevelse, dårlig ånde eller endret smak.
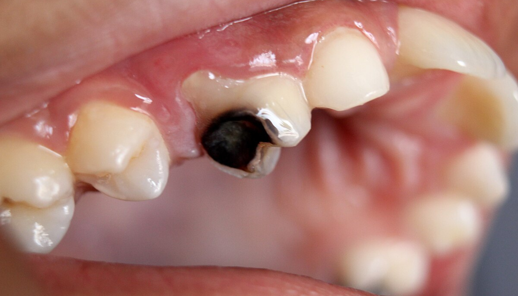
🦠 Vanlige tilstander: karies, tannkjøttbetennelse/periodontitt, munnsår (herpes/afte), sopp (candida) og tørr munn.
🚨 Når oppsøke hjelp: sterke smerter, feber eller puss, sår som ikke gror innen 2 uker, traume, eller svelge-/pustevansker.
Munnhulen er ikke bare hjemmet til tennene dine – den er en kompleks og vital del av kroppen som spiller en viktig rolle i alt fra fordøyelse og tale til immunforsvar og generell helse. I tillegg til tennene finner vi tungen, ganen, kinnene, leppene, spyttkjertlene og slimhinner i munnhulen, som alle samhandler for å beskytte kroppen mot sykdommer og holde deg sunn.
Relatert lesing
Verk i kroppen uten feber: Vanlige årsaker
Vedvarende plager i munnhulen kan gi muskelspenning og slitenhet – her er flere mulige forklaringer på «verk i kroppen».
Les mer om verk i kroppen
Hva består munnhulen av?
Munnhulen er et anatomisk område som strekker seg fra leppene til bakre del av ganen, og inkluderer både harde og bløte strukturer. Tennene og tannkjøttet er det de fleste først tenker på, men tungen, ganen, kinnslimhinnene og spyttkjertlene er også essensielle komponenter. Alle disse delene samarbeider tett for å tygge, svelge og produsere spytt som nøytraliserer bakterier.
Slimhinnene i munnhulen fungerer som en barriere mot bakterier og virus, og kan avsløre tidlige tegn på sykdom. Ved rutineundersøkelser ser tannlegen derfor ikke bare etter hull i tennene, men også etter sår, hevelser, fargeforandringer og uvanlige strukturer i hele munnen.
💡 Visste du at?
🛡️ Spytt inneholder enzymer og antistoffer som hver dag hjelper til å beskytte emalje og slimhinner mot infeksjoner.
🧪 Mangel på B12, jern eller folat kan gi sår og brennende følelse i munnen.
❤️ Tannkjøttsykdom er koblet til økt risiko for hjerte- og karsykdom og kan forverre blodsukkerkontroll ved diabetes.
🚭 Tobakk og snus øker risikoen for munnsår, periodontitt og kreft i munnhulen.
Vanlige sykdommer og plager i munnhulen
Munnhulen kan rammes av en rekke tilstander – noen er milde og forbigående, mens andre kan være tegn på alvorlig sykdom. Vanlige plager inkluderer munnsår (after), soppinfeksjoner (candida), tannkjøttbetennelse (gingivitt) og dårlig ånde (halitose). I tillegg kan virus som herpes simplex føre til blemmer og sår rundt munnen.
Mange av disse tilstandene kan behandles effektivt, men de bør ikke ignoreres. Langvarig irritasjon, smerte, eller sår som ikke gror innen to uker, bør vurderes av tannlege eller lege. Vær også oppmerksom på hvite eller røde flekker i munnen – dette kan være tidlige tegn på munnkreft.
Relatert lesing
Høy puls om natten: Årsaker og løsninger
Smerter og betennelse i munnhulen kan forstyrre søvnen – se hvorfor pulsen skyter i været om natten.
Les mer om høy puls
Hvordan påvirker munnhulen generell helse?
Munnhulen er nært koblet til resten av kroppen. Forskning har vist at dårlig munnhelse kan ha sammenheng med systemiske sykdommer som diabetes, hjerte- og karsykdommer og autoimmune lidelser. Betennelse i tannkjøttet (periodontitt) kan føre til økt bakteriemengde i blodet, noe som igjen kan påvirke andre organer negativt.
I tillegg kan enkelte systemiske sykdommer først gi symptomer i munnhulen. Tørr munn, blødende tannkjøtt eller endringer i smakssans kan være tidlige tegn på underliggende helseproblemer. Derfor er regelmessige munnundersøkelser ikke bare viktig for tannhelsen, men også for helheten.
Relatert lesing
Sår gane: Årsaker, symptomer og behandling
Irritasjon i ganen er et vanlig munnsymptom – se hva som hjelper og når du bør få det undersøkt.
Les mer om sår gane
Tannlegens rolle i å oppdage munnsykdommer
Tannlegen spiller en avgjørende rolle i å overvåke og oppdage sykdomstegn i munnhulen tidlig. Under en vanlig kontroll vurderes ikke bare tennene, men også slimhinner, tunge, gane og spyttproduksjon. Mange alvorlige tilstander oppdages først under rutinemessige undersøkelser, før du selv merker symptomer.
Ved mistanke om noe uvanlig kan tannlegen henvise videre til spesialist eller ta en vevsprøve (biopsi). Tidlig diagnostikk gir langt bedre prognose ved alvorlig sykdom, og mange pasienter har fått livsviktig hjelp takket være observante tannleger.
Tips for å holde munnhulen sunn og frisk
God munnhygiene er det viktigste du kan gjøre for å forebygge sykdommer i munnhulen: puss med fluor to ganger daglig, bruk tanntråd eller mellomromsbørster, og møt til jevnlige kontroller. Begrens sukkerholdig mat og drikke, og drikk vann for å stimulere spyttproduksjonen.
Røykere og snusbrukere har høyere risiko for munnrelaterte sykdommer og bør følges ekstra tett. Ved tegn på sår, hevelse, uvanlig misfarging eller vedvarende smerter – kontakt fagperson.
Relatert lesing
Rar smak i munnen: Årsaker og behandling
Endret smakssans kan være første tegn på plager i munnhulen – her er vanlige årsaker og hva du kan gjøre.
Les mer om rar smak
Munnhulen – mer enn bare tenner. Den påvirker kommunikasjon, ernæring og immunforsvar. Nedenfor finner du et kort overblikk over hvorfor helheten teller:
- Tunge, slimhinner og spyttkjertler: Tungen styrer tygging/svelging/smak; slimhinner beskytter; spytt demper syre og holder emaljen sterk.
- Mikroflora og immunforsvar: God balanse i bakteriefloraen forebygger gingivitt, sopp og dårlig ånde.
- Tilknytning til resten av kroppen: Munnhelsen speiler generell helse og kan avsløre vitaminmangler, diabetes og autoimmune tilstander.
- Forebygging lønner seg: Fluor, renhold mellom tennene og jevnlige kontroller er den beste forsikringen.
Sammendrag
Munnhulen er et avansert økosystem som gjør langt mer enn å holde tennene på plass. Den er avgjørende for kommunikasjon, ernæring og immunforsvar – og fungerer som kroppens første forsvarslinje mot sykdom.
Symptomer som sår som ikke gror, hevelser, vedvarende smerter eller endret smak bør tas på alvor. God daglig munnhygiene og regelmessige kontroller hos tannlege forebygger problemer og oppdager sykdom tidlig.


